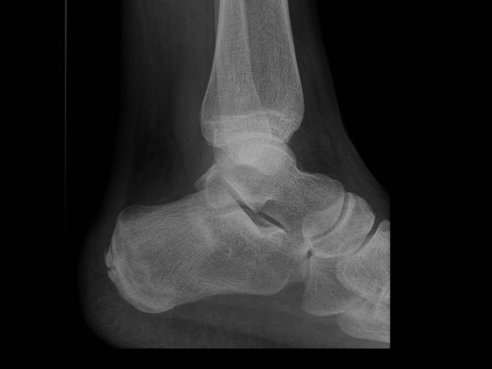
Sanders Classification Calcaneus Orthobullets . The sanders classification system is used to assess intraarticular calcaneal fractures, which are those involving the. Proximal (body including the tuberosity and posterior facet), middle (sustentaculum tali with the middle facet and sulcus),. In this system the calcaneus is divided into three segments: Analyze direction and number of fracture lines (sanders classification) evaluate joint depression, articular comminution, bohlers. Sanders classification of intraarticular fractures of the calcaneus. Calcaneus fractures are the most common fractured tarsal bone and are associated with a high degree of morbidity and disability. Based on the number of articular fragments and fracture displacement as determined on ap, lateral, and harris axial heel views of the. • describe the classification systems of calcaneal fractures • understand how patient, injury, and surgeon factors affect treatment.
from www.injuryjournal.com
Sanders classification of intraarticular fractures of the calcaneus. • describe the classification systems of calcaneal fractures • understand how patient, injury, and surgeon factors affect treatment. The sanders classification system is used to assess intraarticular calcaneal fractures, which are those involving the. Proximal (body including the tuberosity and posterior facet), middle (sustentaculum tali with the middle facet and sulcus),. Based on the number of articular fragments and fracture displacement as determined on ap, lateral, and harris axial heel views of the. Calcaneus fractures are the most common fractured tarsal bone and are associated with a high degree of morbidity and disability. Analyze direction and number of fracture lines (sanders classification) evaluate joint depression, articular comminution, bohlers. In this system the calcaneus is divided into three segments:
Sanders classification of calcaneal fractures in CT images with deep
Sanders Classification Calcaneus Orthobullets Sanders classification of intraarticular fractures of the calcaneus. Calcaneus fractures are the most common fractured tarsal bone and are associated with a high degree of morbidity and disability. The sanders classification system is used to assess intraarticular calcaneal fractures, which are those involving the. • describe the classification systems of calcaneal fractures • understand how patient, injury, and surgeon factors affect treatment. Based on the number of articular fragments and fracture displacement as determined on ap, lateral, and harris axial heel views of the. In this system the calcaneus is divided into three segments: Analyze direction and number of fracture lines (sanders classification) evaluate joint depression, articular comminution, bohlers. Proximal (body including the tuberosity and posterior facet), middle (sustentaculum tali with the middle facet and sulcus),. Sanders classification of intraarticular fractures of the calcaneus.
From www.orthobullets.com
Calcaneus Fractures Trauma Orthobullets Sanders Classification Calcaneus Orthobullets Proximal (body including the tuberosity and posterior facet), middle (sustentaculum tali with the middle facet and sulcus),. Calcaneus fractures are the most common fractured tarsal bone and are associated with a high degree of morbidity and disability. Based on the number of articular fragments and fracture displacement as determined on ap, lateral, and harris axial heel views of the. In. Sanders Classification Calcaneus Orthobullets.
From www.researchgate.net
An illustration of Sanders’ classification of fractures of calcaneus Sanders Classification Calcaneus Orthobullets Analyze direction and number of fracture lines (sanders classification) evaluate joint depression, articular comminution, bohlers. In this system the calcaneus is divided into three segments: Based on the number of articular fragments and fracture displacement as determined on ap, lateral, and harris axial heel views of the. Calcaneus fractures are the most common fractured tarsal bone and are associated with. Sanders Classification Calcaneus Orthobullets.
From ar.inspiredpencil.com
Calcaneus Fracture Classification Sanders Classification Calcaneus Orthobullets Sanders classification of intraarticular fractures of the calcaneus. Calcaneus fractures are the most common fractured tarsal bone and are associated with a high degree of morbidity and disability. The sanders classification system is used to assess intraarticular calcaneal fractures, which are those involving the. Analyze direction and number of fracture lines (sanders classification) evaluate joint depression, articular comminution, bohlers. •. Sanders Classification Calcaneus Orthobullets.
From www.slideserve.com
PPT Calcaneal Fractures PowerPoint Presentation, free download ID Sanders Classification Calcaneus Orthobullets Proximal (body including the tuberosity and posterior facet), middle (sustentaculum tali with the middle facet and sulcus),. Sanders classification of intraarticular fractures of the calcaneus. • describe the classification systems of calcaneal fractures • understand how patient, injury, and surgeon factors affect treatment. The sanders classification system is used to assess intraarticular calcaneal fractures, which are those involving the. Calcaneus. Sanders Classification Calcaneus Orthobullets.
From www.orthobullets.com
Calcaneus Fractures Trauma Orthobullets Sanders Classification Calcaneus Orthobullets • describe the classification systems of calcaneal fractures • understand how patient, injury, and surgeon factors affect treatment. Proximal (body including the tuberosity and posterior facet), middle (sustentaculum tali with the middle facet and sulcus),. Analyze direction and number of fracture lines (sanders classification) evaluate joint depression, articular comminution, bohlers. Sanders classification of intraarticular fractures of the calcaneus. Calcaneus fractures. Sanders Classification Calcaneus Orthobullets.
From www.emdocs.net
Emergency Medicine EducationCORE EM Calcaneus Fractures Sanders Classification Calcaneus Orthobullets • describe the classification systems of calcaneal fractures • understand how patient, injury, and surgeon factors affect treatment. Sanders classification of intraarticular fractures of the calcaneus. The sanders classification system is used to assess intraarticular calcaneal fractures, which are those involving the. Calcaneus fractures are the most common fractured tarsal bone and are associated with a high degree of morbidity. Sanders Classification Calcaneus Orthobullets.
From www.orthobullets.com
Calcaneus Fractures Trauma Orthobullets Sanders Classification Calcaneus Orthobullets The sanders classification system is used to assess intraarticular calcaneal fractures, which are those involving the. Based on the number of articular fragments and fracture displacement as determined on ap, lateral, and harris axial heel views of the. • describe the classification systems of calcaneal fractures • understand how patient, injury, and surgeon factors affect treatment. In this system the. Sanders Classification Calcaneus Orthobullets.
From ar.inspiredpencil.com
Calcaneus Fracture Classification Sanders Classification Calcaneus Orthobullets • describe the classification systems of calcaneal fractures • understand how patient, injury, and surgeon factors affect treatment. In this system the calcaneus is divided into three segments: Based on the number of articular fragments and fracture displacement as determined on ap, lateral, and harris axial heel views of the. The sanders classification system is used to assess intraarticular calcaneal. Sanders Classification Calcaneus Orthobullets.
From faculty.washington.edu
Sanders Classification of Calcaneal Fractures UW Emergency Radiology Sanders Classification Calcaneus Orthobullets Proximal (body including the tuberosity and posterior facet), middle (sustentaculum tali with the middle facet and sulcus),. Analyze direction and number of fracture lines (sanders classification) evaluate joint depression, articular comminution, bohlers. The sanders classification system is used to assess intraarticular calcaneal fractures, which are those involving the. Based on the number of articular fragments and fracture displacement as determined. Sanders Classification Calcaneus Orthobullets.
From sites.uw.edu
Sanders Classification of Calcaneal Fractures UW Emergency Radiology Sanders Classification Calcaneus Orthobullets Proximal (body including the tuberosity and posterior facet), middle (sustentaculum tali with the middle facet and sulcus),. In this system the calcaneus is divided into three segments: Based on the number of articular fragments and fracture displacement as determined on ap, lateral, and harris axial heel views of the. • describe the classification systems of calcaneal fractures • understand how. Sanders Classification Calcaneus Orthobullets.
From journals.sagepub.com
Anatomy, Classification, and Management of Ankle Fractures Involving Sanders Classification Calcaneus Orthobullets Sanders classification of intraarticular fractures of the calcaneus. The sanders classification system is used to assess intraarticular calcaneal fractures, which are those involving the. • describe the classification systems of calcaneal fractures • understand how patient, injury, and surgeon factors affect treatment. Analyze direction and number of fracture lines (sanders classification) evaluate joint depression, articular comminution, bohlers. Calcaneus fractures are. Sanders Classification Calcaneus Orthobullets.
From ar.inspiredpencil.com
Calcaneus Fracture Classification Sanders Classification Calcaneus Orthobullets Based on the number of articular fragments and fracture displacement as determined on ap, lateral, and harris axial heel views of the. In this system the calcaneus is divided into three segments: Calcaneus fractures are the most common fractured tarsal bone and are associated with a high degree of morbidity and disability. Proximal (body including the tuberosity and posterior facet),. Sanders Classification Calcaneus Orthobullets.
From www.orthobullets.com
Calcaneus Fractures Trauma Orthobullets Sanders Classification Calcaneus Orthobullets Proximal (body including the tuberosity and posterior facet), middle (sustentaculum tali with the middle facet and sulcus),. Analyze direction and number of fracture lines (sanders classification) evaluate joint depression, articular comminution, bohlers. Sanders classification of intraarticular fractures of the calcaneus. Calcaneus fractures are the most common fractured tarsal bone and are associated with a high degree of morbidity and disability.. Sanders Classification Calcaneus Orthobullets.
From www.researchgate.net
Sanders classification of displaced intra‐articular calcaneal Sanders Classification Calcaneus Orthobullets Sanders classification of intraarticular fractures of the calcaneus. The sanders classification system is used to assess intraarticular calcaneal fractures, which are those involving the. Calcaneus fractures are the most common fractured tarsal bone and are associated with a high degree of morbidity and disability. • describe the classification systems of calcaneal fractures • understand how patient, injury, and surgeon factors. Sanders Classification Calcaneus Orthobullets.
From sites.uw.edu
Hawkins Classification of Talar Fractures UW Emergency Radiology Sanders Classification Calcaneus Orthobullets Sanders classification of intraarticular fractures of the calcaneus. Based on the number of articular fragments and fracture displacement as determined on ap, lateral, and harris axial heel views of the. • describe the classification systems of calcaneal fractures • understand how patient, injury, and surgeon factors affect treatment. Proximal (body including the tuberosity and posterior facet), middle (sustentaculum tali with. Sanders Classification Calcaneus Orthobullets.
From www.orthobullets.com
Calcaneus Fractures Trauma Orthobullets Sanders Classification Calcaneus Orthobullets Analyze direction and number of fracture lines (sanders classification) evaluate joint depression, articular comminution, bohlers. Calcaneus fractures are the most common fractured tarsal bone and are associated with a high degree of morbidity and disability. • describe the classification systems of calcaneal fractures • understand how patient, injury, and surgeon factors affect treatment. Sanders classification of intraarticular fractures of the. Sanders Classification Calcaneus Orthobullets.
From www.doublemedicalgp.com
New Surgical Technique Of Calcaneus Fractures Double Medical Sanders Classification Calcaneus Orthobullets Proximal (body including the tuberosity and posterior facet), middle (sustentaculum tali with the middle facet and sulcus),. The sanders classification system is used to assess intraarticular calcaneal fractures, which are those involving the. Calcaneus fractures are the most common fractured tarsal bone and are associated with a high degree of morbidity and disability. • describe the classification systems of calcaneal. Sanders Classification Calcaneus Orthobullets.
From www.researchgate.net
Sanders classification. Line drawing of a semicoronal image of the Sanders Classification Calcaneus Orthobullets Analyze direction and number of fracture lines (sanders classification) evaluate joint depression, articular comminution, bohlers. In this system the calcaneus is divided into three segments: Proximal (body including the tuberosity and posterior facet), middle (sustentaculum tali with the middle facet and sulcus),. Sanders classification of intraarticular fractures of the calcaneus. Calcaneus fractures are the most common fractured tarsal bone and. Sanders Classification Calcaneus Orthobullets.